お知らせ・コラム
2018/11/12
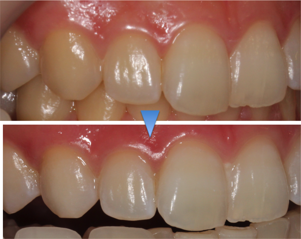
安心・安全なホワイトニング
皆様、こんにちは!
食欲の秋!が始まりましたね^^
美味しく食べるには歯が大事!!
そしてその歯が白ければもっと嬉しい!!!
と言う事で、今回はホワイトニングについてのお話です♪
自由が丘歯科オーラルケアでは、添加物フリーのホワイトニングを使用しています。
添加物フリーにする事で有効成分の濃度が高く、より一層白さを実感できる処方になっています。
添加物フリーのホワイトニングで小さなお子様がいらっしゃるお母様も安心してホワイトニングを受ける事が出来ます。
また、現在お子様連れのお母様対象に、ホワイトニング割引キャンペ−ンを行なっております。
この機会にぜひ、お試し下さい。











